Photo of model for Before & After Photos page
Before & After Photos
| ← Prev | Patient 13 |
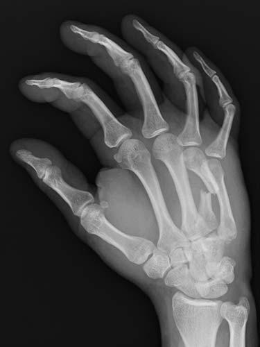
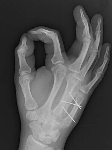
Patient Information
31 year old that suffered a broken bone in his hand while at work. Attempts were not possible at treating the patient without surgery because of the need to use his hand to help out with family obligations. He chose to have the hand treated with temporary wires that allowed him to help out with family obligations. The patient healed without any problems having regained full use of his hand.
- Before
- After










Ref #:1305
Set up a consultation